+918048030550
Currently it only shows your basic business info. Start adding relevant business details such as description, images and products or services to gain your customers attention by using Boost 360 android app / iOS App / web portal.

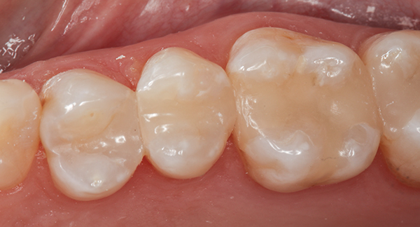
Best Dental clinic in Kodambakkam Dental Fillings are done with light cure composite ( tooth coloured materials) that mimics that natural colour, form and function. #Best Dental Clinic #Dental Fillings