+918048030550
Currently it only shows your basic business info. Start adding relevant business details such as description, images and products or services to gain your customers attention by using Boost 360 android app / iOS App / web portal.
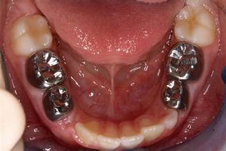
Stainless steel crowns are preformed tooth shaped cap that fits over the tooth usually done after the pulpectomy procedure as a way of preserving the baby tooth that became significantly decayed or damaged tooth to prevent premature loss thus providing a protection for baby tooth until they are naturally shed. #Paediatric root canal #Milk teeth treatment for decay.